牙齿化石研究暗示有不同的远古猴子穿越一大片水体在新大陆上生活过
牙齿化石研究暗示有不同的远古猴子穿越一大片水体在新大陆上生活过
(化石网报道)据cnBeta:早在2016年的时候,外媒SlashGear就曾报道过一个故事,称古代猴子可能穿越了一大片水体,从一个大陆迁徙到另一个大陆。而现在,对古猴牙齿进行分析的研究人员暗示,有一组不同的猴子可能也曾穿越一大片水体,在新的大陆上生活过。2016年的报告以巴拿马运河附近发现的Panamacebus transitus这个物种的一组牙齿为研究对象。这组牙齿的年龄表明,这只猴子所处的地区(现在的北美洲的一部分)在当时与南美洲隔着100英里的水域。
这颗牙齿有2100万年的历史,这说明这只猴子在北美洲的时间是在当时这个地区没有其他猴子生活的时候。猴子当时只生活在南美洲,但正如这份报告中的研究人员所言,一只来自南美洲的2100万年前的猴子应该是当时北美洲唯一的哺乳动物,能够从南美洲到现在的北美洲。
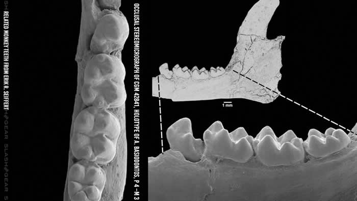
2020年,又有一篇有关古猴牙齿的研究被报道出来。这份最新的报告显示,在秘鲁乌卡亚利发现了一组牙齿。这组牙齿属于一种名为Ucayalipithecus perdita的猴子。研究人员埃里克-塞弗特(Erik Seiffert)认为这些牙齿看起来很眼熟。
在秘鲁的报告中发现的牙齿与Seiffert于2001年在埃及发现的牙齿相似。根据这项最新的研究,“基于贝叶斯钟的系统发育分析将该属(Ucayalipithecus)归入了非洲-阿拉伯科Parapithecoidea,并表明导致Ucayalipithecus的跨大西洋漂流很可能发生在大约3500万到3200万年前,这是个散布窗口,包括全球海平面的主要下降,发生在Eocen-Oligocene边界附近。”
所以研究人员认为古代猴子的迁徙大约在3200万年前进行,从现在的非洲,穿越南极冰原,一直到现在的秘鲁-几百英里外的水面上。他们提出的另一种可能性是,猴子们可能乘坐天然的植被“木筏”完成了这段900英里的旅程。然后大约1000万年后,另一只猴子从100英里外的南美某地来到了北美洲。
这项研究成果已于4月10日发表在《科学》杂志上。














